Tratamento ortodôntico para crianças e adolescentes em Curitiba

Avaliação na infância para identificar a fase ideal de intervenção ortodôntica

O desenvolvimento da mordida e do crescimento do seu filho está sendo acompanhado no momento certo?

O desalinhamento dos dentes vai além da estética e pode piorar com o tempo

Em crianças e adolescentes, alterações no crescimento dos dentes e ossos podem evoluir rapidamente e devem ser acompanhadas por um especialista ao longo do desenvolvimento.

Muitas alterações no crescimento da criança, não são percebidas pelos pais

O que causa o desalinhamento dos dentes em crianças?

Essas alterações podem estar relacionadas ao crescimento, hábitos e fatores genéticos, e tendem a evoluir com o tempo quando não acompanhadas.

Fatores genéticos

Características herdadas, como o formato do arco e o tamanho dos dentes, podem favorecer o desalinhamento desde cedo.

Perda precoce de dentes

A perda de dentes sem reposição pode fazer com que os dentes vizinhos se movimentem, alterando o alinhamento ao longo do tempo.

Hábitos na infância

Uso prolongado de chupeta, sucção do dedo ou respiração bucal podem interferir no desenvolvimento da mordida.

Alterações no crescimento ósseo

Alterações no encaixe da mordida e no crescimento ósseo podem levar a desalinhamentos que se agravam com o tempo.

É na idade jovem que a mordida e a estrutura da face estão se formando

Tratar no momento certo pode evitar problemas mais complexos no futuro

Quando a criança é avaliada ainda na fase de crescimento, o tratamento tende a ser mais simples, eficiente e com melhores resultados.

Correção iniciada na fase de crescimento

Tratamento da mordida em fase de crescimento

Tratamento conduzido no tempo ideal

Nem todo caso precisa de tratamento, a avaliação define o momento ideal para intervir

Seu filho apresenta algum desses sinais?

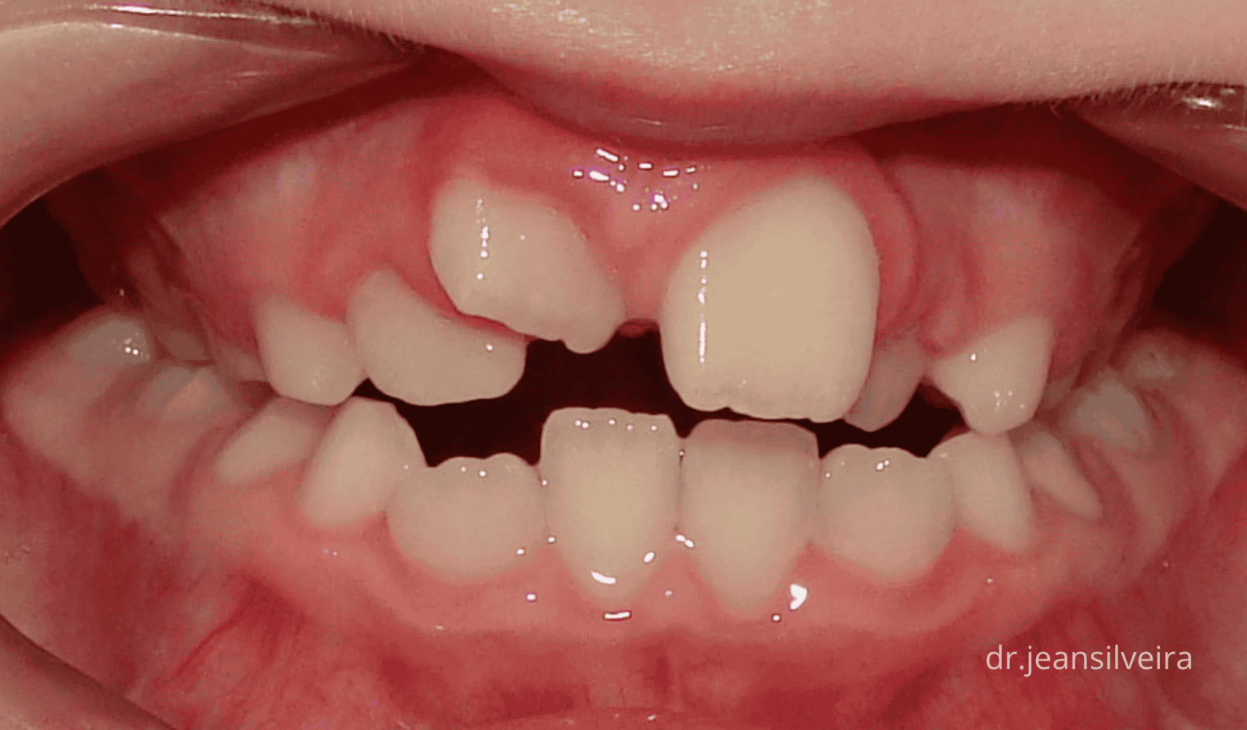
Dentes tortos ou apinhados

Pouco espaço no arco faz com que os dentes "disputem" posição.

Espaços entre os dentes

Aberturas entre os dentes que incomodam esteticamente ou funcionalmente.

Mordida cruzada

Dentes superiores "para dentro" dos inferiores alterando o encaixe e a simetria do rosto.

Mordida aberta

Os dentes da frente não se tocam quando a boca está fechada.

Desconforto ao mastigar

Dificuldade, dor ou cansaço ao mastigar podem sinalizar alteração de mordida.

Se você identificou algum desses sinais, o ideal é realizar uma avaliação o quanto antes.

Quando esses sinais passam despercebidos, o problema pode evoluir e exigir cirurgias e intervenções mais complexas no futuro.

Como funciona o tratamento ortodôntico

Do primeiro contato ao sorriso transformado. Cada etapa com clareza e cuidado.

Avaliação inicial

Entendemos suas queixas, rotina, objetivos estéticos e funcionais em uma consulta tranquila e completa.

Planejamento do tratamento

Quando indicado, solicitamos exames e montamos um plano com cronograma, tipo de aparelho e previsão clara de evolução.

Colagem do aparelho

Colagem do aparelho e orientações práticas para adaptação tranquila ao tratamento.

Acompanhamento e ajustes

Consultas de controle periódicas para manter o tratamento no caminho certo, com segurança e previsibilidade.

Perguntas Frequentes

A avaliação pode ser feita a partir dos 6 anos, quando os primeiros dentes permanentes começam a nascer.

O objetivo não é colocar aparelho cedo, mas acompanhar o crescimento da face, da mordida e da respiração.

Meninas e meninos têm ritmos de crescimento diferentes:

As meninas costumam parar de crescer pouco tempo após a primeira menstruação (a partir dos 10 anos).
Já os meninos crescem até os 17 ou 18 anos.
Por isso, em alguns casos, agir cedo especialmente com meninas é essencial para aproveitar o tempo certo de intervenção.

Sim! A avaliação ortodôntica pode (e deve) ser feita mesmo antes da troca completa dos dentes.

Muitas alterações no crescimento da face, na mordida e na respiração acontecem durante a infância, e o ortodontista pode identificar sinais precoces que passam despercebidos.

Quanto mais cedo for feito o acompanhamento, maiores as chances de evitar tratamentos mais complexos no futuro.

Não.
Na maioria dos casos, a avaliação serve apenas para observar, orientar e acompanhar.
Agir cedo não significa tratar cedo, significa decidir com segurança o melhor momento para intervir.

Em alguns casos, adiar a avaliação pode levar à falta de espaço para os dentes permanentes e aumentar a necessidade de extrações no futuro.

Mordidas cruzadas, quando não tratadas no momento adequado, podem levar a um crescimento torto do rosto durante o crescimento.

Com o passar do tempo, o tratamento pode se tornar mais longo, mais invasivo e mais complexo.

Cada criança tem seu próprio ritmo de crescimento, e apenas uma avaliação cuidadosa pode indicar o caminho mais seguro.

Sim. Quando bem indicada, ela permite guiar o crescimento, reduzir a complexidade dos tratamentos futuros e, em muitos casos, evitar correções mais difíceis na adolescência ou fase adulta.

Atendemos crianças, adolescentes e adultos.
Cada fase tem suas particularidades, e o acompanhamento correto respeita o estágio de crescimento de cada paciente.

É uma consulta dedicada a uma análise cuidadosa, com conversa clara com os pais e orientação individualizada, sempre sem pressa.

Caso seja identificada a necessidade de tratamento, exames radiológicos e fotográficos poderão ser solicitados para uma avaliação mais detalhada e apresentação futura de um plano de tratamento.

A consulta tem duração média de 30 minutos, garantindo tempo suficiente para esclarecer dúvidas e orientar com segurança.

Quem é a especialista por trás dos resultados?

Dr. Jean Silveira de Souza
CRO/PR 18.274 • CL-M 1318

Formado pela Universidade Federal de Santa Catarina, especialista em ortodontia, Dr. Jean Silveira construiu sua trajetória na odontologia com foco em planejamento clínico cuidadoso, precisão técnica e atendimento individualizado.

Sua prática integra diferentes áreas da odontologia com um objetivo claro: restabelecer saúde, função e equilíbrio ao sorriso, sempre respeitando as características e necessidades de cada paciente.

Ao longo dos anos, desenvolveu uma abordagem baseada em evidências científicas, tecnologia e acompanhamento próximo, buscando oferecer tratamentos seguros, resultados consistentes e duradouros.

Avaliar cedo simplifica o tratamento

Faça uma avaliação do seu caso com nosso especialista.